Título Caninum

.

| Principal | Atlas de Patología | Inflamación |

www.Caninum.com

Patología General

 

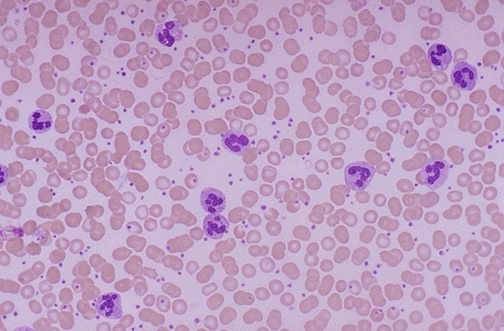
La inflamación aguda está caracterizada por un aumento de células inflamatorias. Tal vez el más simple indicador de una inflamación aguda es un incremento en el número de los glóbulos blancos sanguíneos en la sangre periférica, aquí marcados por un aumento de neutrófilos segmentados (PMN)

 


| Homepage | Tarjetas | Foro y Clasificados | Mascotas | Servicios | Informes Veterinarios |

| Textos Caninum | Guía de Veterinarias | Guía de Criaderos | Contáctenos |