Título Caninum

.

| Principal | Atlas de Patología | Inflamación |

www.Caninum.com

Patología General

 

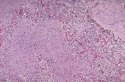
Este abceso posee una mezcla de células inflamatorias, pero la pared del abceso se está "organizando" con fibroblastos y generación de neovasos (angioblastos forman capilares) .


| Homepage | Tarjetas | Foro y Clasificados | Mascotas | Servicios | Informes Veterinarios |

| Textos Caninum | Guía de Veterinarias | Guía de Criaderos | Contáctenos |